长期缺牙不种后患无穷
麦芽智能AI在线 · 点击咨询 来源:麦芽糖编辑社 更新:2019-11-12 19:29
接诊范围·专精疑难
MAC博士智库
专注高龄疑难缺牙
进入医生列表甄选系统·国际品质
六大系统认证
数字化种牙示范基地
植体拥有唯一编码数字科技·精确种牙
运用数字科技
让疑难种牙变简单
申请方案设计数字化口腔精确科技倡导者
以修复为导向
一站式种牙与修复
了解更多*说明:文章信息仅供参考,不作为临床口腔医学诊断依据。
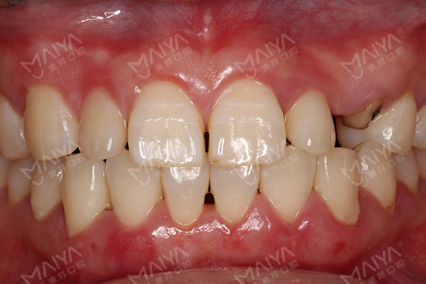
我今年刚满30岁,说起我的缺牙经历,真是不堪回首。青春期由于爱美在母亲的陪同下,去了当地一家小诊所拔除了一颗虎牙。那时候一心想变美,完全没想过拔牙还会损害其它牙齿的健康,而且被虎牙挡住的牙空隙较小,医生也没有给我任何意见。后来,拔牙后的两颗邻牙开始逐渐松动、脱落。到了2017年,拔牙处的一颗邻牙已经脱落到只剩残根,一咬食物就酸痛,苦不堪言。

当时只是花了20块钱去拔一颗牙,现在却要花十倍、百倍的时间和精力去弥补当时的问题,实在有点得不偿失。所以,看牙一定要选择有资质的机构和专业的医生!多方咨询后,我选择了麦芽口腔,医生很专业,再做了口腔CT检查后,还特别介绍了义齿修复的种类和优劣势。麦芽口腔种植专家为我量齿设计了微创种植技术方案,拔除了我残留的牙根,精准植入种植体,缝合、观察……手术时间很短,不到十分钟,种牙就结束了,一点都不痛。

*提交信息后,工作人员将致电回访,与您确定到院时间,小麦为您自动排号,为您节省看牙的时间。
















转载
咨询















































